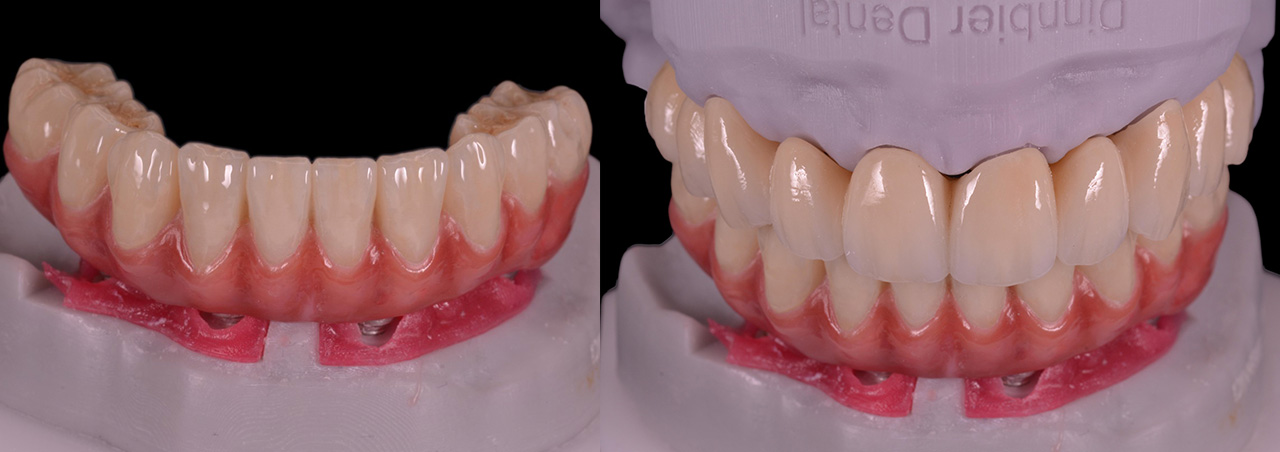
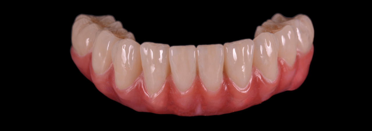
Híbrida de Muñones