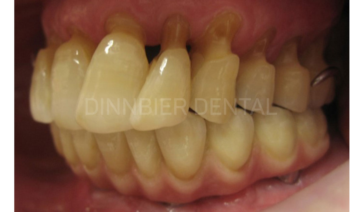
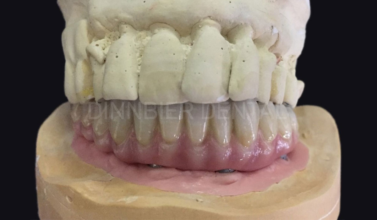
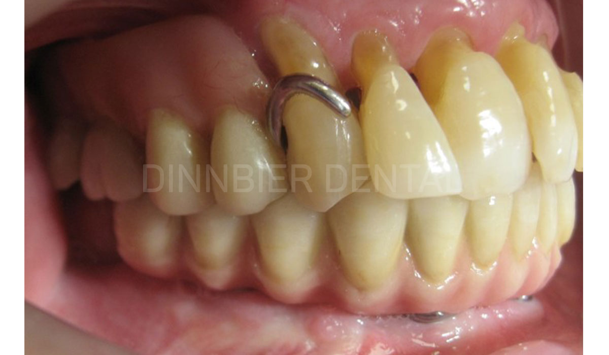
Carga inmediata y definitiva cerámica inferior